Restabelecimento da dimensão vertical em paciente com desgastes dentais severos - relato de caso clínicoa

Autores

  • Felipe Borges Bugiga
  • Fernanda Lenara Colpo
  • Didier Anzolin Unipar - Universidade Paranaense - Campus Cascavel
  • Simone kreve UNIPAR - Universidade Paranaense

DOI:

https://doi.org/10.18256/2238-510X/j.oralinvestigations.v5n2p45-52

Palavras-chave:

Dimensão Vertical, Bruxismo, Oclusão

Resumo

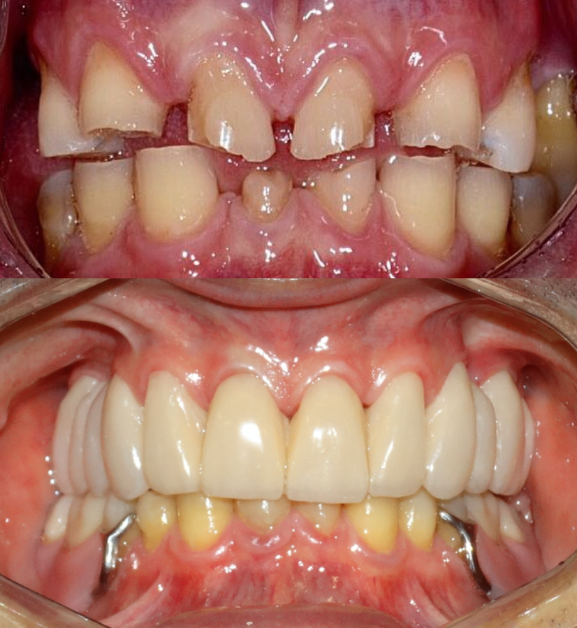
Introdução: A perda dos dentes posteriores culmina na sobre-função dos dentes anteriores frente aos esforços mastigatórios, causando desgastes dentais severos e consequentemente a perda da dimensão vertical. Esse quadro se torna acentuado principalmente se além da perda dos dentes o paciente apresentar hábitos parafuncionais como por exemplo, o bruxismo. Objetivo: Considerando que a determinação da dimensão vertical é uma das etapas mais importantes no tratamento reabilitador, o objetivo do presente estudo foi determinar a dimensão vertical e reabilitar um paciente com colapso facial e dental. Relato de Caso: J.I, 58 anos compareceu para tratamento odontológico apresentando dentes extremamente desgastados acompanhado de algumas ausências dentais, resultando em sérios comprometimentos estéticos e funcionais. Foi realizado o diagnóstico e planejamento com o objetivo de restabelecer a dimensão vertical. Conclusão: A sequência do tratamento é discutida, demonstrando que, por meio do uso de próteses provisórias, consegue-se criar estabilidade posterior, devolvendo a correta dimensão vertical ao paciente e possibilitando condição satisfatória para o desempenho normal e fisiológico do sistema estomatognático.

 

Palavras-chave: Dimensão vertical; Bruxismo; Oclusão dentária.

 

Downloads

Os dados de download ainda não estão disponíveis.

Biografia do Autor

  • Felipe Borges Bugiga
    Graduando em odontologia, Unipar– Cascavel/PR – Brasil. 
  • Fernanda Lenara Colpo
    Graduanda em odontologia, Unipar– Cascavel/PR – Brasil. 
  • Didier Anzolin, Unipar - Universidade Paranaense - Campus Cascavel
    Professor departamento Prótese Dentária
  • Simone kreve, UNIPAR - Universidade Paranaense
    Departamento de Prótese Dentária

Downloads

Publicado

2017-03-28

Edição

Seção

Casos Clínicos